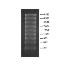
Transcript RNA Markers 0.28-6.6 kb
Sigma’s Transcript RNA Marker (0.28 – 6.6 kb) contains 9 RNA transcripts from 281 – 6,583 bases. Three μl of the ladder should be diluted in gel loading buffer and then loaded in a single lane on an agarose gel.
Suitable for size determination of small RNA using native or denaturing agarose gel electrophoresis.[1]
Sigma’s Transcript RNA Marker (0.28 – 6.6 kb) is provided in a gel-loading solution with 10 mM Tris-HCl (pH 8.0), with 1.0 mM EDTA.
Contains a mixture of nine RNA transcripts, 281–6,583 bases
For optimal resolution, the recommended agarose gel concentration is 1.0%.
