ECM Gel from Engelbreth-Holm-Swarm murine sarcoma liquid, BioReagent, suitable
ECM gel can used with epithelial cells, endothelial cells, muscle cells, nerve cells and tumor cells.
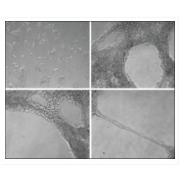
The ECM gel will undergo thermally activated polymerization when brought to 20-40°C, forming a reconstituted basement membrane. PC12 cells will show neurite formation within 2 days when they are grown on a thin layer of this ECM gel.
ECM was prepared to a protein concentration of 8-12 mg/mL (in DMEM), containing laminin as a major component, collagen type IV, heparin sulfate proteoglycan, entactin, and other minor components. Addition of collagen type IV to the ECM gel increases polymerization.
Product
contains 50 mg/L Gentamicin Sulfate.
For long term storage, keep product at -20°C. The ECM gel may be stored at 2-8°C for up to 72 hours.
This product is prepared from Engelbreth-Holm-Swarm sarcoma in mice; dialyzed against chloroform. Gel should be thawed overnight at 2-8°C before use and dispensed to a multiwall plate using a plate and pipettes that are pre-cooled to 2-8°C. The gel may also be diluted up to twofold with 2-8°C Dulbecco′s Modified Eagle′s Medium, and should be done before gel is added to the plate. The product will gel within 5 minutes at 20°C. For prolonged manipulations, work should be conducted below 10°C. Cells can be plated on top of a thin gel layer of 0.5 mm or cultured inside a 1 mm layer. If you culture cells inside, add the cells to the gel prior to plating at a recommended density of 3-4 x 104 cells per mL. To dissociate cells from this gel, use protease in PBS without calcium, magnesium, or EDTA, at a concentration of 0.6-2.4 units per mL.
